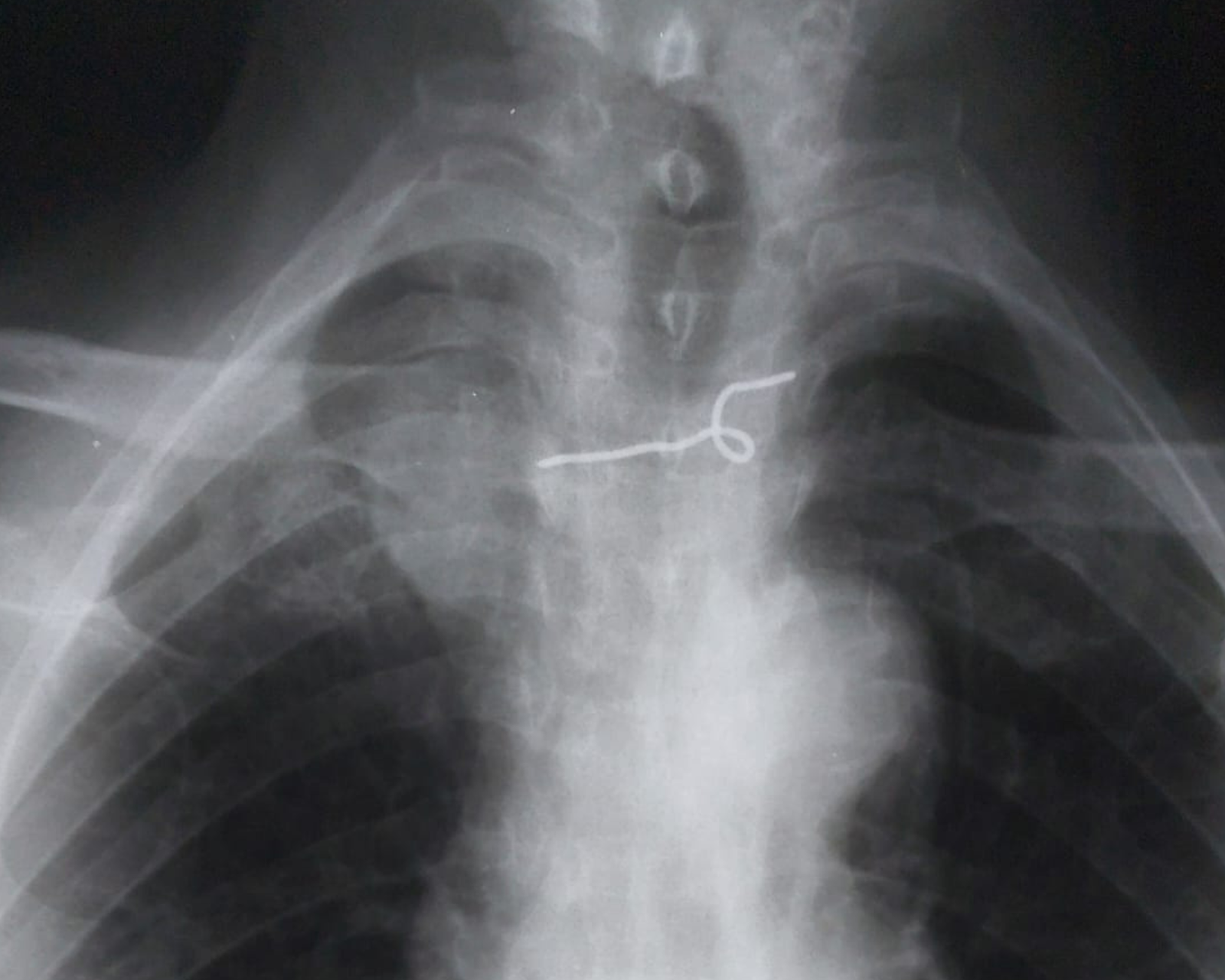
Uma idosa de 67 anos, deu entrada no Hospital Municipal Áurea Maia de Figueiredo, em São Miguel do Alto Oeste (RN), após ingerir um corpo estranho que só foi identificado após realização de um raio-x. Inicialmente os médicos suspeitavam que era um pedaço de osso, mas, na verdade, dona Lindalva Leite da Silva, teria engolido um pedaço de metal, mais parecido com um arame.
Segundo o enfermeiro que atendeu a senhora quando ela deu entrada no hospital de São Miguel, a paciente queixava-se de leve dor na garganta e esôfago. “Achamos que ela teria ingerido um pedaço de osso inicialmente, diante dessa informação, passei para o médico e ele solicitou um raio-x, e quando ela fez o exame, a imagem que tínhamos era realmente de um pedaço de metal, mais parecido com um arame, após isso, ela foi encaminhada para o hospital regional de Pau dos Ferros”, contou o profissional da saúde.
Ainda de acordo com o enfermeiro que acompanhou Lindalva até o hospital da outra cidade, ela foi diretamente encaminhada para o cirurgião, em seguida para uma clínica particular onde precisou realizar uma endoscopia para ver a possibilidade de resolver a retirada do corpo estranho. O médico explicou que pelo método tradicional de endoscopia não foi possível remover, o que ocasionou na solicitação de um tipo de endoscopia mais aprofundado feito com um aparelho que só teria no Complexo Hospitalar Monsenhor Walfredo Gurgel em Natal/RN.
Para ser levada até a capital potiguar, a paciente foi primeiramente regulada. “Não demorou muito tempo e assim que foi regulada nós providenciamos o transporte, ela foi em uma ambulância acompanhada dos profissionais de saúde e de parentes”, concluiu o enfermeiro.
A diretora do Hospital Municipal Áurea Maia de Figueiredo, em São Miguel, confirmou o caso e as duas transferências que a paciente teve até chegar no Walfredo Gurgel. A idosa teria dado entrada na unidade hospitalar de São Miguel no início da tarde desta segunda-feira (25), logo após ter almoçado.
Lindalva teria engolido o pedaço de metal quando estava comendo farinha, os detalhes ainda não foram revelados, mas, a família alega não saber como o arame foi parar na comida da idosa.
NOTA DA SECRETARIA DE ESTADO DA SAÚDE PÚBLICA (SESAP).
A paciente foi recebida e atendida no pronto-socorro e está sendo, neste momento, encaminhada à internação para cirurgia torácica no Centro Cirúrgico. A equipe, que inclui endoscopista e cirurgião torácico, esta acompanhando o caso. A paciente será cirurgiada logo após a finalização de outro atendimento de urgência de alta complexidade que ocorre no momento. (11h17 – 26/09).
Nova atualização – O procedimento foi finalizado, sem intercorrência, há pouco tempo, feito com endoscopia rígida e auxílio da equipe de cirurgia torácica. A paciente está na sala de recuperação pós-anestésica, estável. Segundo familiares ela ficará por volta de 7 dias em recuperação hospitalar (13h54 – 26/09).






















































